Patologia pleurală pe radiografia toracică

- A. Modificări exudative reprezentate de revărsatele pleurale.
- B. Modificări proliferative ca pleuritele şi tumorile pleurale.
- C. Hipertransparente şi imagini hidroaerice reprezentate de pneumotorax şi hidropneumotorax.
- D. Modificări fibrinoase şi calcificări reprezentând, în general, faza de cicatrizare a formelor anterioare.
I. Revărsatele pleurale:
Definiție:
Pleurezia reprezintă o acumulare de lichid intrapleural.
Etiologie:
Infecțioasă - pneumonii bacteriene, virale, bronho-pneumonii, tuberculoză, micoze; neoplazică-cancer bronho-pulmonar, tumori pleurale, mediastinale, tumori extratoracice (sân, pancreas), limfoame; infarct pulmonar; posttraumatice-hemotorax; de origine cardiacă-insuficiență cardiacă, infarct miocardic; scăderea presiunii osmotice-ciroză hepatică, sindrom nefrotic; pancreatită acută; abces subfrenic.
După natura lichidului, revărsatul pleural poate fi seros, transudat sau exudat în hidrotorax; purulent în piotorax; hemoragic în hemotorax şi chilos sau chiliform în chilotorax. Pot exista şi aspecte mixte de lichid serosangvinolent, seropurulent sau piohemoragic. Radiologic, natura lichidului nu poate fi decelată, toate revarsatele fiind considerate lichid pleurale.
Lichidul pleural poate fi liber în marea cavitate pleurală, sau poate fi închistat.
a. Pleurezia cu lichid liber în cavitatea pleurală
În pleurezia cu lichid liber în cavitatea pleurală, indiferent de porţiunea de pleură interesată, dacă cavitatea pleurală este liberă (fără aderenţe) lichidul se scurge în porţiunea cea mai declivă, între faţa inferioară a plămânului şi hemidiafragm, mai întâi posterior, în sinusul costodiafragmatic, apoi lateral şi eventual anterior iar, pe masură ce se acumulează, lichidul îmbracă convexitatea pulmonară.
În funcţie de timpul care a trecut de la debut şi de cantitatea de lichid din cavitatea pleurală, se descriu cinci forme clinice şi radiologice: pleurezia incipientă, pleurezia cu lichid în cantitate mică, pleurezia cu lichid în cantitate medie, pleurezia cu lichid în cantitate mare şi pleurezia masivă.
1. Pleurezia incipientă (50-100 ml):
În pleurezia incipientă când cantitatea de lichid nu este încă suficientă ca să se traducă prin opacitate la baza hemitoracelui respectiv, se poate observa doar o poziţie mai înaltă şi o mobilitate mai redusă a diafragmului ce contrastează cu diafragmul de partea sănătoasă care are poziţie şi mobilitate normală sau chiar exagerată complementar.
Uneori unicul semn al pleureziei este îngroşarea scizurilor interlobare.
O cantitate minimă de lichid în sinusul costodiafragmatic posterior poate trece neobservat pe radiografia de faţă (postero-anterioară), lichidul fiind mascat de diafragm. Acesta poate fi pus în evidenţă pe o radiografie de profil cu tubul lateral, incidenţă în care sinusul posterior nu mai este mascat de umbra hepatică ca pe imaginea de faţă, și se observă o opacifiere a acestuia. Pe radiografia în decubit lateral de partea afectată se poate identifica o bandă opacă localizată axilar.
Lichidul devine vizibil pe o radiografie de faţă, în ortostatism la cantităţi de 250-600 ml.
Radiologic: opacitate omogenă, de intensitate cu atât mai mare cu cât cantitatea de lichid este mai mare; delimitată net şi care ocupă sinusul costo diafragmatic. În Trendelenburg, cantitatea mică de lichid de la bază migrează între foiţele pleurale şi opacifiază vârful pulmonului respectiv, această manevră putând să facă diagnosticul diferenţial între o pleurezie minimă şi o îngroşare pleurală sechelară.
2. Pleurezia cu lichid în cantitate mică (200-500 ml) - opacitate a sinusului costo-diafragmatic.
3. Pleurezia cu lichid în cantitate medie:
Pleurezia cu cantitate medie de lichid apare la o cantitate de lichid de 1000-1500 ml care va opacifia complet baza hemitoracelui, cu tendinţa de a urca anterior, lateral şi posterior spre jumătatea acestuia; acumularea pe faţa mediastinală este mai redusă decât la nivelul convexităţii pentru că şi reculul elastic este mai redus ca urmare a fixării plămânului la hil şi la ligamentul triunghiular. În incidenţa posteroanterioară, avem opacitate triunghiulară (triunghiul lui Leobardi) cu o latură pe diafragm, una la peretele axilar al toracelui şi a treia spre transparenţa pulmonară. Această latură are aspect curb, cu concavitatea în sus şi înăuntru, numită curba Damoiseau-Ellis-Kimbock.
În multe cazuri, curba lui Damoiseau se prelungeşte de-a lungul peretelui lateral al toracelui cu o opacitate de lichid lamelară care urcă până la claviculă (linia Tournant) şi care poate să înconjoare vârful (curba vârfului Chaumet).
Opacitatea dată de pleurezie este omogenă, de intensitate mare (costală), ocupând sinusul costo-diafragmatic și treimea inferioară a hemitoracelui, și nu permite vizualizarea desenului pulmonar fie din cauză că plămânul este împins de lichid, fie pentru că lichidul este în strat gros şi nu permite vizualizarea desenului pulmonar.
4. Pleurezia cu lichid în cantitate mare: opacitatea descrisă ocupă o parte tot mai mare din hemitorace.
5. Pleurezia masivă:
În pleurezia masivă, lichidul opacifiază omogen toată cavitatea pleurală, dar descreşte în intensitate spre vârf. Hemitoracele este crescut în dimensiuni: peretele toracic este bombat, spaţiile intercostale lărgite (are caracter expansiv), mediastinul împins spre partea sănătoasă.
Există forme atipice de pleurezie ce apar în caz de leziuni asociate parenchimatoase într-o anumită porţiune a plămânului, care modifică retractilitatea pulmonară în regiunea lezată.
În pleurezia în manta Fleischner, lichidul poate fi repartizat într-o lamă mai mult sau mai puţin uniformă de jur împrejurul plămânului sau numai pe faţa lui costală şi diafragmatică. Atunci, aspectul radiologic este de opacitate „în manta”, de jur împrejurul plămânului. Din faţă, avem opacitate difuză de intensitate subcostală, iar din profil opacitate în lamă net conturată spre transparenţa pulmonară. Acest tip de pleurezie apare mai ales în caz de plămân cu fibroză.
Diagnosticul diferenţial al pleureziei libere în marea cavitate se face cu: pneumonia, pleurezii parapneumonice, atelectazia pulmonară, pahipleurita întinsă.
b. Pleureziile închistate
Acestea sunt frecvente şi prezintă aspecte polimorfe în funcţie de sediul lor: parietal, diafragmatic, mediastinal, apical, axilar, interlobar. Apar datorită formării de aderenţe între foiţele pleurale şi pot fi aparent primitive sau reprezintă închistări secundare în cursul evoluţiei unei pleurezii a marii cavităţi. Pleureziile închistate sunt de cele mai multe ori purulente.
1. Pleurezia închistată parietal (costal) când este privită tangenţial, dă opacitate pleuretică net şi liniar delimitată spre câmpul pulmonar, de obicei fuziformă, emisferică, cu baza la peretele costal.
2. Pleurezia închistată diafragmatic: Opacitate localizată bazal, de intensitate mare, omogenă, cu contur superior convex în sus, net. În dreapta, conturul diafragmului drept este mult ridicat, iar mişcările reduse sau absente, dar niciodată paradoxale. Se poate confunda cu procesele subdiafragmatice (abces subfrenic, tumori hepatice, ficat mărit) sau cu relaxarea diafragmatică, paralizia frenicului. Diagnosticul se precizează ultrasonografic. În stânga, pleurezia diafragmatică închistată comportă mai puţine dificultăţi datorită prezenţei bulei de gaz a stomacului. Diagnostic diferențial pentru pleurezia închistată diafragmatic: ascensionare hemidiafragm, tumoră diafragmatică, pleurezie liberă.
3. Pleurezia închistată mediastinal:
Apare ca o lărgire a mediastinului superior sau inferior cu aspect în bandă sau triunghiular, contur net, regulat.
Poate fi: totală (când lichidul ocupă etajul superior al spaţiului pleural mediastinal cât şi cele două camere ale etajului inferior – anterioară şi posterioară) sau parţială.
Pleurezia totală realizează o opacitate în bandă care transpare prin opacitatea mediastinală (cord, vase) sau care o depăşeşte lateral fiind net şi liniar conturată spre plămân. Conturul poate fi convex sau concav. Uneori, în dreptul hilului, colecţia în bandă poate fi îngustată de prezenţa pedicolului vascular şi opacitatea ia aspect „în ceas de nisip”.
Pleureziile închistate parţial pot fi:
- Pleureziile mediastinale inferioare: dau opacitate triunghiulară cu vârful la hil –triunghiul Chauffard-Rist care are o latură spre coloana vertebrală, alta spre diafragm şi ipotenuza spre transparenţa pulmonară. Radiografia de profil face diferenţierea între localizarea anterioară şi cea posterioară.
- Pleureziile mediastinale superioare sunt întâlnite mai rar în practică şi foarte rar izolate. Se traduc printr-o umbră juxtamediastinală care lărgeşte pediculul vascular, are formă vag triunghiulară şi coboară de la vârful plămânului până la hil.
Diagnosticul diferenţial al pleureziilor mediastinale trebuie făcut cu alte afecţiuni mediastinale: mediastinite, abcese, tumori mediastinale, anevrisme, ectazii vasculare, deplasări de organe mediastinale, dilataţii cardiace parţiale, adenopatii (au contur rotunjit, respectiv policiclic). Diagnosticul pozitiv de certitudine este computer tomografic.
4. Pleurezia închistată apical (la nivelul vârfului) este de obicei purulentă şi dă opacitatea „în cască”. Diagnosticul diferenţial se face cu cancerul apical.
5. Pleurezia închistată axilar: lichidul se închistează spre peretele axilar al toracelui. Radiologic, avem opacitate fusiformă sau ovalară, lipită de peretele toracic (cu apartenență pleurală), de intensitate mare, cu contur net, regulat şi bombat spre aria pulmonară. Diagnosticul diferenţial se face cu: pahipleurita axilară în care opacitatea are acelaşi sediu şi formă, dar are structură neomogenă, contur dinţat înspre plămân şi determină retracţia coastelor şi a hemitoracelui; tumorile pleurale-intensitate medie, contur policiclic, imprecis.
6. Pleurezia închistată interlobar (în scizuri) are aspecte radiologice foarte variate după cum lichidul ocupă tot sau numai parţial spaţiul interlobar, după sediul colecţiei în acel spaţiu, după cantitatea de lichid. În scizura orizontală-opacitate în bandă, fusiformă, ovalară, localizată pe topografia micii scizuri. În scizura oblică pe radiografia postero-anterioară: opacitate de intensitate mică, difuză, în etajul mijlociu și inferior al hemitoracelui; pe radiografia de profil: opacitate în bandă sau fusiformă, de intensitate mare, bine delimitată pe topografia marii scizuri (diagnostic diferențial cu atelectazia de lob mediu; pleurezia are contururi concave).
Pleurezia închistată de tip mixt, lichidul putând ocupa spaţii pleurale diverse: pleurezia mediastino-diafragmatică, mediastino-interlobo-diafragmatică, parieto-diafragmatică.
Peste 13000 de cabinete medicale își prezintă serviciile pe ROmedic.
II. Pleureziile uscate sau pleuritele:
Sunt inflamaţii ale pleurei care nu sunt însoţite de exsudaţie lichidiană. Se produc depozite de fibrină mai ales pe pleura parietală, ulterior şi pe cea viscerală şi rezultă o îngroşare a foiţelor cu simfiză între ele. pleurita uscată însoţeşte orice boală a plămânului care se propagă până spre suprafaţa lobului. Ca boală independentă poate fi o manifestare a infecţiei tuberculoase.
Pleurita este săracă în semne radiologice, putându-se evidenţia un voal discret pe radiografia de faţă, voal care se transformă în linie sau bandă opacă în poziţiile oblic sau profil, când pleura îngroşată este tangentă la razele X.
Pleurita are predilecţie pentru vârful plămânului, realizând pleurita descrisă de Sergent şi care radiologic prezintă voalare a vârfului pulmonar care nu dispare la tuse-semnul Rist-Kreutzfuchs.
Pleurita bazală descrisă de Kraus şi Eppinger se traduce prin:
- diminuarea excursiilor hemidiafragmului respectiv, mai ales la examinarea scopică;
- ascensionarea diafragmului;
- îngroşarea liniei diafragmatice cu estomparea în dreptul placardului de pleurită rezultând un contur diafragmatic discontinuu;
- ştergerea contururilor sinusului costodiafragmatic.
După resorbţia procesului inflamator, în câteva zile, pleurita poate dispărea complet sau lasă după ea simfize, aderenţe şi placarde de pahipleurită.
Corticopleurita asociază, pe lângă opacitatea cu caractere pleurale, şi leziuni nodulare sau trabeculare în parenchimul pulmonar. Se întâlneşte cel mai frecvent la vârful plămânului dând corticopleurita Chaumet cu opacitate proiectată la nivelul coastei a 2-a care poate lăsa cicatrici nodulare sclero-calcare.
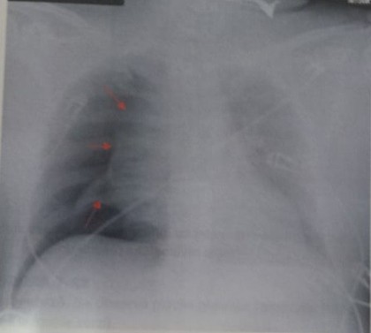
Îngroşările pleurale scizurale sunt expresia unor procese inflamatorii în activitate sau a unor sechele pahipleurale şi se traduc radiologic prin opacifieri liniare când bolnavul este rotat pentru ca scizura să devină ortogradă. La incidenţa de faţă, se poate vedea doar îngroşarea scizurii orizontale drepte, scizurile oblice fiind situate aproape în plan frontal, îngroşarea scizurală nu se vede deloc sau dă doar un voal neexpresiv.
III. Tumorile pleurale pot fi:
a. benigne
Sunt foarte rare şi se prezintă ca o opacitate circumscrisă, unică, rotundă sau uşor lobulată, net delimitată, de intensitate costală şi omogenă, uneori voluminoasă, cu baza pe peretele costal. La examenul radioscopic, se mişcă cu coastele în inspir, expir şi tuse. Pot fi: fibrom, angiom, condrom, tumoră amiloidă pleurală, lipom. Radiologic, nu pot fi diferenţiate neavând nimic caracteristic. Hiperplaziile lipomatoase subpleurale sunt foarte rare, adesea bilaterale. Apar ca opacităţi rotunde, de intensitate subcostală, eşalonate de-a lungul peretelui toracic.
b. maligne (sarcoame şi carcinoame primare şi secundare ce dau aspecte de multe ori identice din punct de vedere radiologic):
Opacitate rotundă sau ovalară, bine conturată. Uneori sunt însoţite de osteolize costale sau condensare parenchimatoasă prin invazia plămânului. Mai frecvent este endoteliomul pleural sau mezoteliomul care este de două tipuri:
- Mezoteliomul local situat pe pleura viscerală sau parietală, este benign, apare după 40 ani, atât la femei cât şi la bărbaţi. Radiologic: opacitate largă, omogenă, circumscrisă, cu diametrul de 2-15 cm, mobilă cu respiraţia. Când este localizat în scizuri, simulează un nodul solitar intrapulmonar sau un închistat interlobar. Pe convexitate, apare ca o tumoră solitară, sesilă sau pediculată racordată în unghi obtuz la perete.
- Mezotelioamele difuze sunt întotdeauna foarte maligne, apar ca îngroşări mari şi multiple ale pleurei, cu baza largă de implantare, care în incidenţă tangenţială, realizează o bandă opacă mamelonată, ce poate fi confundată cu o pahipleurită difuză. Iniţial sunt localizate pe convexitate, mai ales în dreapta, după care se extind repede pe toată suprafaţa pleurală, ca o carapace. Mai mult sau mai puţin precoce, apare un revărsat pleural masiv hemoragic care poate deplasa cordul şi mediastinul. După evacuarea lichidului se pot evidenţia mai bine opacităţile rotunjite sau ovoide ca nişte formaţiuni lichidiene, implantate pe pleură. Mezotelioamele dau rar leziuni costale sau metastaze. Mezoteliomul localizat mediastinal produce compresii şi atelectazie.
Metastazele pleurale au aspect asemănător mezoteliomului, examenul histopatologic precizând diagnosticul.
Dacă leziunea este localizată în pleura scizurală mimează un nodul solitar pulmonar sau o pleurezie închistată interlobar.
IV. Pneumotoraxul:
Pneumotoraxul se formează când în cavitatea pleurală pătrunde aer, foiţele pleurale sunt îndepărtate între ele, cavitatea pleurală se destinde şi din virtuală devine reală. După modul de pătrundere a aerului în cavitatea pleurală, pneumotoraxul poate fi: traumatic, spontan sau artificial (terapeutic sau iatrogen, în scop diagnostic).
- Pneumotoraxul traumatic se produce în caz de fracturi costale sau plăgi penetrante ale peretelui toracic sau după manevre terapeutice ca: respiraţie artificială, intubaţie traheală, bronhoscopie, esofagoscopie. După pătrunderea aerului coeziunea foiţelor pleurale cedează, iar plămânul este colabat la hil.
- Pneumotoraxul spontan apare frecvent la bărbaţi de 30-40 ani. Este mai frecvent de partea dreaptă, rar bilateral; în 30% din cazuri este recurent pe aceeaşi parte, în 10% pe partea opusă. Se produce prin ruperea în cavitatea pleurală a unei bule de aer subpleurale. Se produce după un efort, după scăderea presiunii atmosferice, sau se asociază cu diferite boli: TBC, pneumopatii acute, emfizem difuz, obstrucţii bronşice. În unele cazuri se produce aparent fără nici o cauză.
Radiologic, în pneumotorax avem:
- Zonă de transparenţă crescută cu sediul parietal;
- Lipsa desenului pulmonar la acest nivel;
- Plămânul colabat la hil are transparenţa scăzută şi desenul pulmonar mai sărac;
- Delimitarea între plămânul colabat şi colecţia aerică pleurală se face de către pleura viscerală care apare ca o dungă fină continuă.
După gradul de extensie pneumotoraxul poate fi:
- Total: cu aspectul descris anterior (plămânul este colabat la hil).
- Parţial: mai greu de diagnosticat, uneori trecând neobservat. Se produce când cavitatea pleurală prezintă bride sau aderenţe şi aspectul pneumotoraxului este de pungă transparentă variată ca topografie şi dimensiuni. În unele cazuri simulează o bulă de emfizem care, de altfel, poate coexista.
Radiologic:
Hipertransparență în bandă, plămân colabat parțial. Pneumotoraxul în cantitate mică se vede mai bine pe radiografiile efectuate în expir.
Există o formă aparte: pneumotoraxul în manta în care aerul se aşează ca o lamă transparentă în jurul plămânului.
Pneumotoraxul poate produce dislocarea lobilor sau/şi a mediastinului, aerul se insinuează între lobi sau între mediastin şi plămân pe care îl împinge spre convexitatea hemitoracelui unde este fixat de aderenţe.
Pneumotoraxul poate fi închis, deschis sau cu supapă (în care aerul pătrunde intermitent în cavitatea pleurală în inspir ceea ce determină o creştere treptată a presiunii intracavitare-pneumotorax sub presiune/tensiune-cu deplasarea mediastinului spre partea opusă, deprimarea hemicupolei diafragmatice, lărgirea spațiilor intercostale şi cu tulburări respiratorii sau cardiovasculare).
În mod normal, pneumotoraxul se resoarbe spontan după două luni. În caz de fenomene inflamatorii supraadăugate sau când foiţele pleurale sunt îngroşate, cu calcificări, pneumotoraxul poate deveni cronic.
Când pneumotoraxul se asociază cu lichid pleural se produc imagini mixte pleurale-hidroaerice.
Diagnostic diferențial:
Bulă gigantă de emfizem (nu se văd pleura viscerală și plămânul colabat), emfizem pulmonar (hipertransparență cu desen pulmonar prezent).
V. Hidropneumotoraxul:
Etiologie:
Ruperea în pleură a unei caverne tuberculoase sau a unui abces; post-traumatic (hemopneumotorax).
Poate fi seros, hemoragic sau purulent, radiologic nu se poate stabili natura lichidului. Aspectul radiologic este de nivel orizontal între hipertransparenţa (fără desen pulmonar) aerică superioară şi opacitatea (cu aspect lichidian) intensă inferioară (rezultă o imagine hidro-aerică). Nivelul de lichid oscilează dacă înclinăm sau mişcăm bolnavul; de asemenea oscilează cu pulsaţiile cordului şi cu mişcările respiratorii.
Uneori diafragmul poate avea mişcări paradoxale: urcă în inspir şi coboară în expir – fenomenul Kiembock.
Lichidul din hidropneumotorax se poate încapsula mono- sau multilocular, unele pungi prezentând nivel de lichid, altele nu. Pungile pot comunica între ele, examinarea în diverse poziţii demonstrează trecerea lichidului dintr-o pungă în alta. Diagnosticul în cel multilocular este mai dificil putând fi confundat cu abcese pulmonare corticale.
VI. Sechelele pleurale după diferite afecţiuni pleurale sunt de asemenea importante.
Simfizele pleurale se formează prin îngroşarea şi lipirea foiţelor pleurale.
La nivelul sinusului costodiafragmatic simfiza foiţelor pleurale provoacă închiderea şi dispariţia sinusului, iar în timpul respiraţiei mişcarea în balama. La nivelul diafragmului se produc dinţături în „vârf de cort”, de la fiecare dinţătură plecând un trabecul opac spre hil.
Pahipleurita reprezintă faza finală, de vindecare, prin resorbţie şi cicatrizare, a modificărilor exudative şi proliferative. De asemenea, este o îngroșare pleurală localizată sau generalizată care poate conține depuneri calcare (pahipleurita calcară). Pentru a da imagine radiologică de faţă, îngroşarea pleurală trebuie să aibă o grosime de 1,5 cm pe linia axilară sau de 3 mm în lungul scizurilor. Este mai frecventă localizarea bazală şi se traduce printr-o opacitate triunghiulară ce seamănă cu pleurezia, dar se deosebeşte prin faptul că poate fi neomogenă, de intensitate mai crescută ca în pleurezie, retractă peretele toracic, micşorează spaţiile intercostale, atrage diafragmul care devine orizontal, uneori concav şi deviază mediastinul spre focarul de îngroşare pleurală. Localizările apicale, axilare, mediastinale, scizurale sunt mai rar întâlnite.
Ca etiologie avem: sechele după hemotorax, pleurezie purulentă, tuberculoasă.
Calcificările pleurale apar după revărsate pleurale, cel mai frecvent după hemotorax, dar apar şi în azbestoză, silicoză şi fibrotorax.
Pot apărea sub formă de opacităţi multiple cu contur dinţat, diseminaţi pe zona de elecţie, la bază, în şanţul costo-vertebral şi pe linia axilară posterioară; sau pot conflua în placarde ce dau opacităţi intense sub formă de scut, platoşă sau în „fier de lance”.
Tipuri radiologice:
- pahipleurita generalizată: opacitate care se extinde la nivelul unui hemitorace, de intensitate medie-mare, neomogenă, cu retracția hemitoracelui respectiv;
- pahipleurita localizată: benzi opace, uneori cu contur dințat, festonat, localizate apical (voalează vârful), axilar (cu retracția peretelui toracic), bazal (obliterarea sinusului costo-diafragmatic), opacități liniare sau în bandă localizate pe topografia scizurilor;
- pahipleurita calcară: este secundară-hemotorax, pleurezie purulentă, tuberculoasă, azbestoză; apar placarde neomogene, de intensitate mare, calcară, cu formă patrulateră sau triunghiulară, uneori extinse la toată pleura unui hemitorace, cu contur net, neregulat.
Diagnostic diferențial:
Pleurezia (nu determină retracția peretelui toracic), tumori pleurale (au contur rotunjit, polilobat), leziuni pulmonare (unghiul de racord al opacității cu peretele toracic este ascuțit în cazul leziunilor pleurale și obtuz în cazul celor pulmonare).
-Alina Adriana Feiler, Ana-Maria Ungureanu, Manual de Radiologie și Imagistică Medicală-Volumul I: Toracele, 2012, pag. 103-113
Copyright ROmedic: Articolul se află sub protecția drepturilor de autor. Reproducerea, chiar și parțială, este interzisă!
- Tuberculoza pulmonară pe radiografia toracică
- Tumorile bronho-pulmonare pe radiografia toracică
- Fibroza pulmonară și Colagenozele pe radiografia toracică
- Pneumoconiozele pe radiografia toracică
- Patologia diafragmatică pe radiografia toracică
- Displaziile chistice pe radiografia toracică
- Micozele pulmonare pe radiografia toracică
- Parazitozele pulmonare pe radiografia toracică
- Gangrena pulmonară pe radiografia toracică
- Supurațiile pulmonare difuze pe radiografia toracică
- Abcesul pulmonar pe radiografia toracică
- Bronhopneumonia pe radiografia toracică
- Pneumonia interstițială sau atipică pe radiografia toracică
- Bronșitele pe radiografia toracică
- Bronşiectaziile pe radiografia toracică
- Pneumonia acută tipică pe radiografia toracică
- Atelectazia pe radiografia toracică
- Emfizemul pulmonar pe radiografia toracică
- Radiografia toracică de rutină
- Radioanatomia aparatului respirator