Atelectazia pe radiografia toracică

Atelectazia pulmonară este un sindrom care constă în dispariţia aerului din alveole, colabarea lor, micşorarea segmentului pulmonar interesat, cu păstrarea circulaţiei sanguine în teritoriul atelectatic. Atelectazia pulmonară poate să apară imediat după naştere, când este produsă de absenţa expansiunii parenchimului pulmonar şi constituie atelectazia pulmonară congenitală sau în cursul numeroaselor afecţiuni ale aparatului respirator, atelectazia pulmonară dobândită.
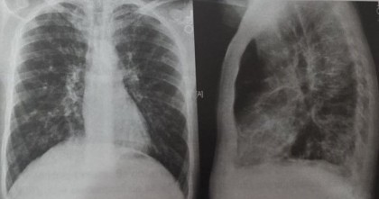
Toate formele de atelectazie au în comun o pierdere de volum ce interesează parțial sau total plămânul, determinând o densitate crescută a plămânului implicat. Plămânul normal este negru pe radiografia toracică deoarece conține aer. Atunci când aerul este substituit de ceva ce are densitate de lichid sau țesut moale sau dacă aerul este resorbit (cum se întâmplă în atelectazie), acea parte a plămânului devine mai albă (mai densă, mai opacă).
Anatomo-patologic, în atelectazia pulmonară zona respectivă este de culoare roşie, comparată cu consistenţa muşchilor, alveolele lipsite de aer, cu pereţii îngroşaţi. Atelectazia pulmonară poate apărea prin două mecanisme patogenice mai importante: atelectazie prin obstrucţia bronşică şi atelectazie prin spasm al parenchimului pulmonar.
I. Atelectazia prin obstrucţie bronşică
Poate fi produsă de factori intrabronşici ca: dopuri de mucus, corpi străini, procese inflamatorii (cel mai frecvent TBC), tumori benigne şi maligne (carcinom bronhogenic de tip scuamos, metastaze endobronșice, tumori carcinoide) sau de factori extrabronşici: adenomegalii, tumori pulmonare, mediastinale, esofagiene, anevrisme de aortă, care comprimă unele bronhii şi realizează stenoza bronşică extrinsecă. După întinderea procesului patologic se pot întâlni: atelectazia unui plămân întreg, atelectazia unui lob pulmonar şi atelectazia segmentară, lobulară.
Aspectul radiologic constă într-o opacitate omogenă însoţită de micşorarea volumului pulmonar şi toracic. Opacitatea are caractere retractile, este atrasă traheea, mediastinul, cupola diafragmatică, peretele toracic, iar regiunea pulmonară respectivă este mai mică. La radioscopie, se observă în timpul inspiraţiei, pendularea mediastinului către atelectazie (semnul lui Holzknecht, Jakobson).
Semne de atelectazie pe radiografia toracică:
- deplasarea scizurilor pulmonare interlobare spre aria de atelectazie;
- creșterea densității plămânului afectat;
- deplasarea structurilor toracice mobile (trahee, cord, hemidiafragmul ipsilateral cu atelectazia);
- hiperinflația lobilor ipsilaterali neafectați sau a plămânului controlateral.
II. Atelectazia prin spasm al parenchimului pulmonar
Apare în urma contracţiei spastice a parenchimului pulmonar, la care se asociază şi o mică obstrucţie a bronhiilor terminale. Aceste atelectazii ocupă teritorii mici, lobuli sau acini şi apar postoperator sau în timpul unor boli infecţioase. Ele apar radiologic ca opacităţi nodulare asemănătoare cu cele din bronhopneumonie.
În stadiul iniţial, atelectazia este reversibilă, mai târziu se transformă într-o zonă fibroasă, care nu se mai extinde.
După mecanismul de apariție, atelectazia mai poate fi: atelectazie pasivă (de relaxare) -apare prin întreruperea contactului dintre pleura parietală și cea viscerală (efuziune pleurală, pneumotorax, anomalii diafragmatice) ; atelectazie compresivă (leziuni ce ocupă spațiul intratoracic cu comprimarea plămânilor) ; atelectazie de/prin cicatrizare (cicatrici sau fibroză care reduc expansiunea pulmonară; ca și etiologie avem boala granulomatoasă, pneumonia necrozantă, fibroză post-iradiere); atelectazie adezivă (de adeziune) -prin deficiență de surfactant, putând fi cu afectare difuză sau localizată; atelectazia dependentă de gravitație (apare datorită greutății plămânilor).
O altă clasificare a atelectaziei identifică trei tipuri distincte: atelectazia subsegmentară, atelectazia compresivă și atelectazia obstructivă.
- 1. Atelectazia subsegmentară (discoid atelectasis sau platelike atelectasis) produce densități liniare, de grosime variabilă, de obicei paralele cu diafragmul, cel mai frecvent cu localizare bazală. Pierderea de volum pulmonar nu este suficientă pentru a produce deplasarea structurilor toracice mobile. Apare mai frecvent postoperator și la pacienții cu durere toracică de tip pleuritic sau fracturi costale. Nu se datorează obstrucției bronșice, ci este mai degrabă rezultatul dezactivării surfactantului, care induce colabarea spațiilor aeriene, cu distribuție non-segmentală sau non-lobară. Acest tip de atelectazie dispare în câteva zile.
- 2. Atelectazia compresivă: Pierderea de volum datorită compresiunii pasive a plămânului poate fi cauzată de: efort inspirator slab/ineficient cu atelectazie pasivă bazală; efuziune pleurală în cantitate mare, pneumotorax masiv sau leziune ce ocupă spațiu pulmonar (exemplu: masă tumorală mare la nivelul parenchimului pulmonar). Prezența unui hemitorace opacifiat, fără bronhogramă aerică și fără/cu minimă deplasare a structurilor toracice mobile sugerează un carcinom bronhogenic obstructiv, posibil asociat și cu metastaze pleurale. Atelectazia rotundă este localizată, de obicei, bazal și periferic și apare în urma unei combinații de boli pleurale din antecedentele pacientului (asbestoză, tuberculoză) și formarea efuziunii pleurale.
- 3. Atelectazia obstructivă a fost deja descrisă mai sus.
Din punct de vedere morfologic, atelectazia poate fi:
- atelectazie liniară (subsegmentară sau plate/band/discoid atelectasis);
- atelectazie lobară (colaps ce afectează unul sau mai mulți lobi pulmonari);
- atelectazie segmentară (colaps ce afectează unul sau mai multe segmente pulmonare);
- atelectazie rotundă;
- atelectazie și fibroză pulmonară adiacentă în asociere cu osteofitoza.
-Alina Adriana Feiler, Ana-Maria Ungureanu, Manual de Radiologie și Imagistică Medicală-Volumul I: Toracele, 2012, pag. 51-52
-Lung atelectasis, https://radiopaedia.org/articles/lung-atelectasis
Copyright ROmedic: Articolul se află sub protecția drepturilor de autor. Reproducerea, chiar și parțială, este interzisă!
- Tuberculoza pulmonară pe radiografia toracică
- Tumorile bronho-pulmonare pe radiografia toracică
- Fibroza pulmonară și Colagenozele pe radiografia toracică
- Patologia pleurală pe radiografia toracică
- Pneumoconiozele pe radiografia toracică
- Patologia diafragmatică pe radiografia toracică
- Displaziile chistice pe radiografia toracică
- Micozele pulmonare pe radiografia toracică
- Parazitozele pulmonare pe radiografia toracică
- Gangrena pulmonară pe radiografia toracică
- Supurațiile pulmonare difuze pe radiografia toracică
- Abcesul pulmonar pe radiografia toracică
- Bronhopneumonia pe radiografia toracică
- Pneumonia interstițială sau atipică pe radiografia toracică
- Bronșitele pe radiografia toracică
- Bronşiectaziile pe radiografia toracică
- Pneumonia acută tipică pe radiografia toracică
- Emfizemul pulmonar pe radiografia toracică
- Radiografia toracică de rutină
- Radioanatomia aparatului respirator