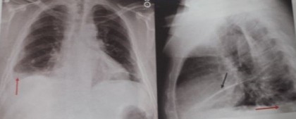
Imaginea radiologică patologică a cutiei toracice

Cutia toracică poate prezenta modificări de formă, de dimensiune sau modificări mixte de formă şi dimensiuni.
Modificările formei cutiei toracice ne pot da aspecte variate: torace cifotic, torace paralitic, emfizematos, astenic sau asimetric.
Modificările de dimensiuni pot fi simetrice şi asimetrice.
Mărirea cutiei toracice se caracterizează prin:
- coaste orizontale şi mai distanţate;
- hemidiafragmele mai coborâte.
Micşorarea cutiei toracice se caracterizează prin:
- coaste oblice sau apropiate;
- hemidiafragmele ridicate.
Mărirea sau micşorarea cutiei toracice poate fi localizată la un singur hemitorace.
Coastele pot prezenta diferite variante anatomice: mai multe la număr, lipsa unei coaste, variate ca formă, pot prezenta diferite modificări patologice sau pot fi rezecate chirurgical, modificări care se observă foarte uşor pe radiografii.
-Dragoș Negru, Radiologie și Imagistică Medicală, 2007, pag. 35, 37-46
-Alina Adriana Feiler, Ana-Maria Ungureanu, Manual de Radiologie și Imagistică Medicală-Volumul I: Toracele, 2012, pag. 25-26, 37, 39-47
-Chest radiograph, https://radiopaedia.org/articles/chest-radiograph
-Normal chest x-ray, https://radiopaedia.org/cases/normal-chest-x-ray
-What to Look for on a Chest X-Ray: Slideshow, https://reference.medscape.com/features/slideshow/chest-x-ray
-Chest X-Rays: 16 Subtle But Key Findings You Need to Know, https://reference.medscape.com/slideshow/chest-radiographs-30765#5
-Chest X-Ray, https://www.sciencedirect.com/topics/medicine-and-dentistry/thorax-radiography
-Overview of Thoracic Radiography, https://static1.squarespace.com/static/5204d3b1e4b03538026d00ac/t/522f96b3e4b048babe0ba10e/1378850483415/Overview+of+Thoracic+Radiology.pdf
Copyright ROmedic: Articolul se află sub protecția drepturilor de autor. Reproducerea, chiar și parțială, este interzisă!
- Tuberculoza pulmonară pe radiografia toracică
- Tumorile bronho-pulmonare pe radiografia toracică
- Fibroza pulmonară și Colagenozele pe radiografia toracică
- Patologia pleurală pe radiografia toracică
- Pneumoconiozele pe radiografia toracică
- Patologia diafragmatică pe radiografia toracică
- Displaziile chistice pe radiografia toracică
- Micozele pulmonare pe radiografia toracică
- Parazitozele pulmonare pe radiografia toracică
- Gangrena pulmonară pe radiografia toracică
- Supurațiile pulmonare difuze pe radiografia toracică
- Abcesul pulmonar pe radiografia toracică
- Bronhopneumonia pe radiografia toracică
- Pneumonia interstițială sau atipică pe radiografia toracică
- Bronșitele pe radiografia toracică
- Bronşiectaziile pe radiografia toracică
- Pneumonia acută tipică pe radiografia toracică
- Atelectazia pe radiografia toracică
- Emfizemul pulmonar pe radiografia toracică
- Radiografia toracică de rutină